Blog
Hasznos cikkek és HíreINk
Fehér foltok a fogakon: mik ezek, és hogyan kell kezelni őket?
Sokan nézegetik aggódva a fogaikat, amikor fehér foltokat fedeznek fel raja. Bár elsőre ártalmatlannak tűnnek, nem feltétlen csak esztétikai panaszt jelentenek, bizonyos esetekben szájüregi problémára vezethetők vissza. Mik ezek a fehér foltok? A fogakon látható,...
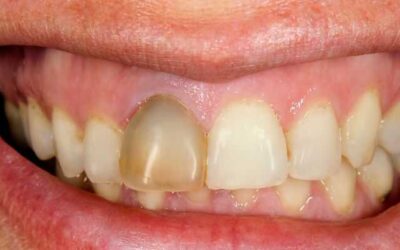
Elhalt fog: mitől szürkül el egy fog, és hogyan kezelhető?
Ha azt vesszük észre, hogy az egyik fogunk színe megváltozik, és szürke vagy barnás árnyalatúvá vált, az legtöbbször nem csupán esztétikai problémát jelent; a háttérben gyakran komolyabb folyamat, a fogbél elhalása áll. De mit jelent az, hogy „elhalt egy fog”, mi...
Van korhatára a fogszabályozásnak?
Sok felnőtt úgy gondolja, hogy a fogszabályozásról „már lemaradt”. Pedig a fogszabályozás ma már nem kamaszkori „kényszer”, hanem egy tudatos döntés az esztétikus és egészséges mosolyért, valamint a jobb életminőségért. És a legjobb hír? Nincs felső korhatár. A...
Impaktált fogak: amikor a fog „beragad”
Sokan csak akkor gondolunk a fogainkra, amikor fájnak vagy látható elváltozás jelenik meg rajtuk, pedig vannak olyan problémák, amelyek csendben, tünet nélkül is jelen lehetnek. Ilyen az impaktált (előtörésben gátolt) fog is. Az impaktált fogról abban az esetben...
Bruxizmus – a fogcsikorgatás rejtett veszélyei
A bruxizmus egy olyan szokás, amely a lakosság körülbelül 15 százalékát érinti. Lényege, hogy az érintettek akaratlanul összeszorítják vagy csikorgatják a fogaikat, de általában alvás közben, de akár nappali tevékenységek során is. Bár elsőre ártalmatlannak tűnhet, a...
Lehet szuvas a fogunk, ha nem fáj?
Mindannyian ismerjük azt az érzést, amikor valamit az utolsó pillanatig halogatunk. Sokaknál ide tartozik a fogorvos is: csak akkor ülünk be a székbe, amikor a fájdalom már elviselhetetlen. Ilyenkor azonban sajnos sokszor nem elegendő egy egyszerű tömés –...
Várandósság és szájhigiénia – Miért kiemelten fontos ebben az időszakban?
A várandósság időszaka a legtöbb nő életében különleges és felemelő élmény, ugyanakkor számos testi változással is jár. A hormonális ingadozások nemcsak a szervezet egészére hatnak, hanem a szájüreg egészségére is. Éppen ezért a terhesség alatt a szájhigiénia...
Hogyan ápoljuk fogászati implantátumainkat, hogy egy életen át kitartsanak?
A fogászati implantátumok ma az egyik legmodernebb és legmegbízhatóbb megoldást jelentik a foghiány pótlására. Stabilitásuknak és természetes hatásuknak köszönhetően visszaadják a magabiztos mosolyt és a rágás kényelmét. Fontos azonban tudni, hogy bár az implantátumok...
Fogszabályozás előtti kezelések – mire van szükség és miért fontos?
Ha fogszabályozást tervezünk, nemcsak a készülék kiválasztása vagy a kezelés időtartama merül fel kérdésként, hanem az is, hogy milyen előkészítő lépések szükségesek a beavatkozás sikeréhez. A fogszabályozás előtti kezelések biztosítják, hogy fogaink és ínyünk...
Lépj velünk Kapcsolatba!
Lépj velünk Kapcsolatba!
Nyitva: előzetes bejelentkezés alapján
Rendelőnk előtt ingyenes a parkolás










