Ha azt vesszük észre, hogy az egyik fogunk színe megváltozik, és szürke vagy barnás árnyalatúvá vált, az legtöbbször nem csupán esztétikai problémát jelent; a háttérben gyakran komolyabb folyamat, a fogbél elhalása áll. De mit jelent az, hogy „elhalt egy fog”, mi okozhatja, és nem utolsó sorban, hogyan állítható helyre? Blogunkban ennek jártunk utána.
Mi az a pulpanekrózis, vagyis a fog elhalása?
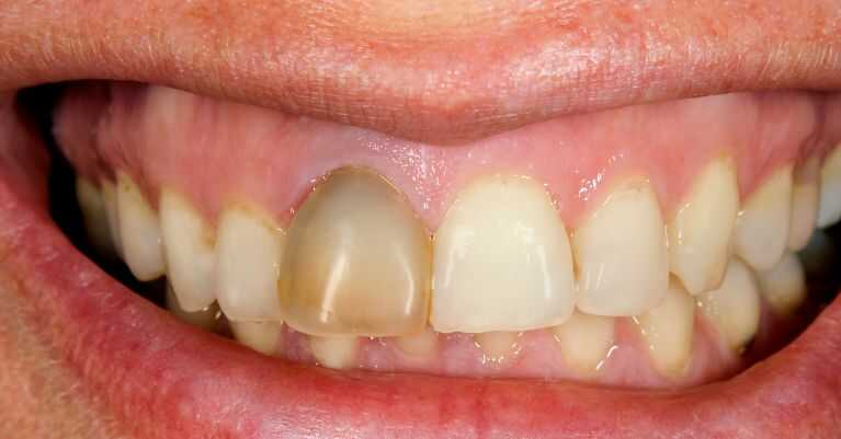
A fog elhalása, azaz a pulpanekrózis akkor alakul ki, amikor a fog belsejében található élő szövet – az ereket és idegeket tartalmazó pulpa– visszafordíthatatlanul károsodik és elhal. A pulpa a fog legbelső, leginkább védett része, és kulcsszerepe van a fogak vitalitásának és egészséges működésének fenntartásában: táplálja a fogat, segítségével tudja érzékelni a fog képes érzékelni a hőmérsékletet és a nyomást, valamint segíti a zománc alatti dentin védelmét. Ha a pulpa vérellátása megszakad, vagy bakteriális fertőzés éri, a szövet elhal, és idővel a fog színe is megváltozik: szürkés, sárgásbarna vagy akár fekete árnyalatot vehet fel.
Miért szürkül el egy fog?
A leggyakoribb tényezők, melyek növeli a pulpa elhalásának valószínűségét:
- Sérülés, ütés
Egy erős trauma, például sportbaleset, ütés vagy esés károsíthatja a fog ereit.
Előfordul, hogy a fog felszínén nincs látható törés, a fog hónapokkal később mégis elszíneződik az elhalt pulpa miatt.
- Kezeletlen mély szuvasodás
Ha a fogszuvasodás eléri a pulpát, visszafordíthatatlan fogbélgyulladás alakulhat ki.Idővel a gyulladás és a belső nyomás elzárja a véráramlást, ami szöveti nekrózishoz és sejthalálhoz vezet.
- Fogászati beavatkozások
Egy fog többszöri kezelése, például komplikált tömés vagy fogpótlás előtti csiszolás túlterhelheti a pulpát. A hőhatás, a készülékek rezgése vagy a fog túlzott faragása is hozzájárulhat a károsodáshoz.
- Fogtörések, repedések
A törések és mikrorepedések is kaput nyitnak a baktériumoknak, amelyek elérhetik a pulpát és károsítják azt.
- Előrehaladott fogágybetegség
Súlyos íny- és csontpusztulás esetén a baktériumok hátulról, a foggyökér csúcsán keresztül is bejuthatnak a pulpakamrába. Ez a folyamat a parodontális fertőzések ritkább, de veszélyes következménye.
Milyen jelek utalhatnak elhalt fogra?
Az elszíneződés nem az egyetlen tünet, ráadásul ez nem is mindig feltűnő. Fontos tudni, hogy a fájdalom hiánya sem zárja ki a pulpanekrózist; az elhalt fog sokszor teljesen panaszmentes marad.
Gyakori jelenség, hogy az elhalt vagy hamarosan elhaló fog kifejezetten melegre érzékeny ilyenkor a fogbélben lévő bakteriális bomlás során keletkező gázok tágulása okoz fájdalmat, feszítő érzést.
- Színváltozás: szürke, barna, fekete árnyalat.
- Érzékenység hiánya: hidegre és melegre nem reagál a fog.
- Fájó, feszítő érzés: rágáskor, nyomásra fokozódhat
- Fisztula: kis fehér pici „pattanásszerű” dudor az ínyen, amelyen át a gyulladásos váladék ürül.
Hogyan diagnosztizálható az elhalt fog?
A pulpanekrózis diagnózisa több lépésből áll, hiszen a fogorvos a tüneteket és a háttérben zajló folyamatokat együtt értékeli. Elsőként különböző érzékenységi tesztekkel – például hideg- vagy melegingerrel – vizsgálja, hogy a fog reagál-e, majd kopogtatási próbával ellenőrzi, okoz-e fájdalmat a gyökér körüli terület. Ezt követően röntgen- vagy szükség esetén CBCT-felvétel készül, amelyen jól látható a gyökércsúcs környezetének állapota. A fog színének megváltozása szintén fontos jel, akárcsak az ínyen megjelenő apró, fehéres dudor – a fisztula –, amely a gyulladás fennállását jelzi. A vizsgálati eredmények együtt adják meg a pontos képet arról, milyen mértékben károsodott a pulpa, és mennyire terjedt előre a fertőzés.
Hogyan kezelhető az elhalt fog?
Ne gondoljuk, hogy ha egy fog elhalt, akkor „már úgyis mindegy”, pláne ha nem is fáj, akkor végképp nincs vele további teendő. A fájdalom hiánya nem jelenti azt, hogy a probléma megszűnt volna. Egy elhalt fogban a fertőzés tovább élhet, lassan, sokszor észrevétlenül terjedhet a gyökércsúcs körüli szövetekben, és komoly szövődményeket idézhet elő. Kezelés nélkül gyökércsúcs körüli gyulladás, arcduzzanat és tályogképződés alakulhat ki, a fertőzés pedig átterjedhet a környező szövetekre is. Idővel csontpusztulás jöhet létre a fog körül, amely végül a fog elvesztéséhez vezethet. A folyamat egy ponton már nem csupán a fogat érinti, hanem gócként az egész szervezetre terhelést jelenthet, ezért az elhalt fog mielőbbi kezelése elengedhetetlen. Az elhalt fog kezelésének célja mindig kettős: megmenteni a fogat és helyreállítani az esztétikát.
- Gyökérkezelés
Az elsődleges és leggyakoribb megoldás a gyökérkezelés, melynek során eltávolítják az elhalt pulpát, megtisztítják és fertőtlenítik a gyökércsatornákat, majd speciális anyaggal hermetikusan lezárják azokat. Ez megelőzi a további fertőzést, és lehetővé teszi, hogy a fog megtartását.
- Belső és külső fogfehérítés
Az elszíneződött gyökérkezelt fogak esetén a gyökérkezelést követően alkalmazható a belső fehérítés, mely visszaállíthatja a fog eredeti, világos árnyalatát.
- Héjak vagy koronák
Ha a fog nagyfokú színváltozáson ment keresztül, vagy szerkezetileg is sérült, a legesztétikusabb megoldás a porcelán héj vagy a cirkonkorona.
Ezek nemcsak a fog esztétikáját adják vissza, hanem megerősítik és védik a kezelt fogat.
Szeretettel várunk a Najudentben!
☎ +36 70 600 1005
📧 idopont@najudent.hu
➴ 8000 Székesfehérvár, Széchenyi u. 80.
➣ https://najudent.hu/kapcsolat/
